Tagebuch unseres B-Wurfes 

Zum A-Wurf Zur Seite 1
01.10.2004
Ultraschall

Seite 2
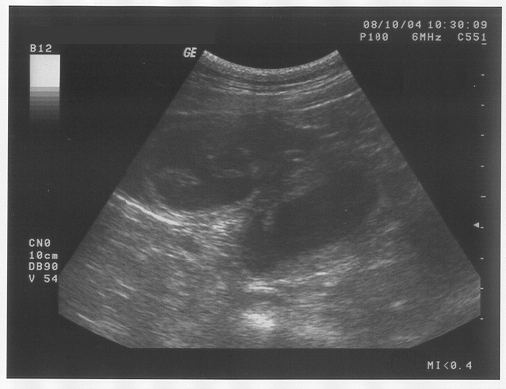
08.10.2004
Die ersten Fotos
Zur Seite 3
15.10.2004
Ernährung
Zur Seite 4
23.10.2004
Namen
Zur Seite 5
28.10.2004
Wasserbett
Zur Seite 6
07.11.2004
Wir sind da
  Zur Seite 7
17.11.2004
Was zu sehen...

Zur Seite 8
28.11.2004
Was zu beißen...
Zur Seite 9
07.12.2004
Richtig lecker
Zur Seite 10
14.12.2004
Nix wie raus
Zur Seite 11
16.12.2004
Ein Märchen
Zur Seite 12
25.12.2004
Weihnachten
  Zur Seite 13
01.01.2005
Abenteuer

Zur Seite 14
08.01.2005
Abschied
Das ist aus und geworden
Wir standen in der Zeitung

Foto: G. MetzCurly schreibt:

Hallo, ihr Lieben,

i
hr habt es ja sicher schon erfahren ... ich bin schwanger

Da steigt man gut gelaunt in's Auto, denkt nix Schlimmes, glaubt, es ginge zum Spaziergehen oder auf den Hundeplatz, und dann das.
Aber toll ist es schon. Jeder fragt, wie es mir geht und alle freuen sich, wenn sie mich sehen.

Heute waren wir noch mal bei dem netten Mann, der mich schon untersucht hatte, bevor die ganze Geschichte losging und der auch in der letzten Woche festgestellt hatte, dass ich tatsächlich wieder Babies bekommen werde.

Weil er sich letzten Freitag noch nicht genau festlegen wollte, hatte er angeboten, dass wir heute wiederkommen dürfen.

Er hat mir noch mal diesen Glibberkram auf den Bauch geschmiert und dann haben alle ganz fasziniert auf eine Art Fernseher geschaut. Da kam aber weder "Herrchen gesucht" noch Werbung. Eigentlich hab ich da gar nichts erkennen können.

Nur der Mann und Frauchen und Brigitte, die haben sich gefreut und gemeint, dass es wohl wieder mindestens 6 Babies geben wird. Vielleicht sogar mehr. Ich hab euch die Bilder mal mitgebracht - vielleicht könnt ihr ja was entdecken. Für mich sieht das eher aus wie Seifenblasen.

So und jetzt bin ich wieder zu Hause und werde wohl gleich ein kleines Schläfchen unter Herrchens Schreibtisch machen. Denn das hab ich mir verdient. 

Ich halte euch auf dem Laufenden.

Liebe Grüße

Eure Curly